Menu
Úvod
O nás
Služby
Prevence
Výplně a estetika
Zubní kanálky
Parodontologie
Implantáty
Dentální hygiena
Vybavení
Fotogalerie
Tým
Ceník
Novinky
Ke stažení
Kontakty
Estetika - celokeramické korunky a bělení
Úvod
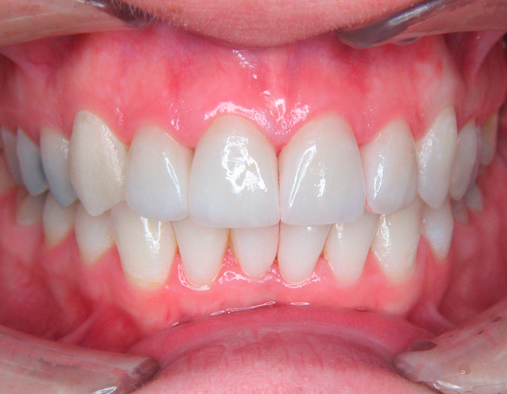
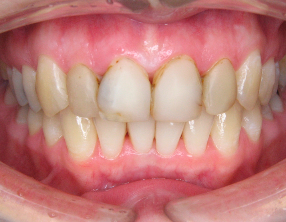
Estetika - celokeramické korunky a bělení
Zuby nevybělené a staré nevyhovující bílé výplně
Zuby vybělené a ošetřené celokeramickými korunkami